Trauma des inneren Lidwinkels (medialer Kanthus)

Am medialen Kanthus kann von Riss- oder Schnittverletzungen betroffen sein. Wegen der zweifachen Lidbandvektoren (vorderes und hinteres Ligament) und der parallelverlaufenden Tränenkanäle sind sie aufwändiger zu reparieren als die Läsionen des lateralen Kanthus.

Abstract
Injuries of the medial canthus can result as ruptures or lacerations of the tissues. The repair of medial canthal lesions is more dificult than the repair of lateral canthal lesions, because the canthal fixation includes two vectors: the anterior (lacrimal vector) and the posterior (tangential vector). Additionally the lacrimal canaliculi can be affected.

Der mediale Kanthus (MC) liegt vor der horizontalen Achse des Bulbus (H) während der laterale Kanthus (CL) nahe bei dieser Achse liegt. Die Anatomie des medialen Kanthus ist komplizierter als die Anatomie des lateralen Kanthus, da sich das Lid am Tränenpünktchen in einen vorderes und hinteres Lidband teilt und die Tränenkanälchen parallel zum vorderen Schenkel verlaufen.

Das vordere Lidband (a: Vorderer Vektor) verläuft vom Tränenpünktchen zum Vorderrand des Tränenbeins, während das hintere Lidband zu dessen Hinterrand führt (b: hinterer Vektor). Eine Läsion des hinteren Bandes führt eher zu einer Lidfehlstellung, da es für die korrekte Position des Tränenpünktchens verantwortlich ist. Eine Läsion des vorderen Bandes führt weniger zu einer Lidfehlstellung, sondern geht oft mit einer Verletzung des Tränenkanälchens einher.

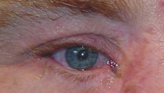
Läsion des vorderen und hinteren Lidbandes mit traumatischer Epikanthusfalte, Tieferstand des medialen Unterlides und Auswärtskippung des Tränenpünktchens.

Nach der Rekonstruktion des hinteren Lidbandes konnte das mediale Unterlid gehoben, das Tränenpünktchen repositioniert und die Epikanthusfalte beseitigt werden.

Chirurgische Technik zur Rekonstruktion des hinteren Lidbandes

Das hintere Lidband (tangentialer Vektor) liegt tangential dem Bulbus an, um an der crista lacrimalis posterior zu inserieren. Nur durch die Rekonstruktion des hinteren Bandes erreicht man die korrekte Position des Tränenpünktchens am Bulbus. Mit Hilfe der Retraktorenschicht des Unterlides, die direkt mit dem hinteren Ansatz des Bandes zusammenhängen, kann man den tangentialen Vektor nutzen. Über einen transkonjuntivalen Zugang werden medial die Retraktoren freigelegt. um sie am Tarsus neben dem Tränenpünktchen zu fixieren.
Die Naht (weiss) verbindet die Retraktorenschicht hinter der Karunkel mit dem Tarus neben dem Tränenpünktchen.
Der tangentiale Vektor des hinteren Lidbandes wird dadurch verstärkt, um die Position des Tränenpünktchens zu korrigieren.