Unterlidretraktion bei endokriner Orbitopathie

Einleitung 

Die Retraktion ist ein dominantes Zeichen bei der endokrinen Orbitopathie. Die schilddrüsenbedingte Retraktion des Unterlids ist weniger häufig als die Retraktion des Oberlids. Die Ursache ist ein autoimmuner Entzündungsprozess der Orbita. Die Unterlidretraktion entsteht, weil die Entzündung den Musculus rectus inferior, die Retraktoren oder beide betrifft. Wenn die Entzündung nicht rechtzeitig mit entzündungshemmenden Medikamenten (Steroidtherapie) behandelt wird, kann der Prozess in eine Fibrose mit Elastizitätsverlust des orbitalen Gewebes und dauerhafte Retraktion des Lids übergehen.


Abstract 

Lower lid retraction caused by Graves disease (5.1) is less frequent than upper lid retraction. It is caused by an autoimmune inflammatory process of the orbit. Retraction can result from the inflammation of the inferior rectus muscle, from the lower lid retractor inflammation and fibrosis, or both. If the inflammation is not treated by antiinflammatory drugs (steroids), it can progress to fibrosis of the muscles and permanent retraction. 

Die zwei Formen der Unterlidretraktion bei endokriner Orbitopathie 

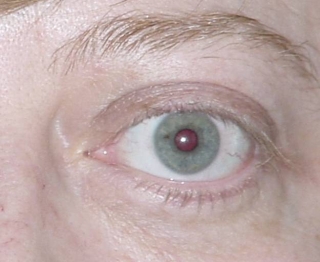
In einigen Fällen kann der Exophthalmus (Proptosis) eines Auges eine tiefere Position des Unterlids verursachen, da der Bulbus nach vorne verlagert ist und das Unterlid zurückbleibt. Dies wird mit den Hertel-Messungen beurteilt. Dieses Phänomen kann als Pseudoretraktion definiert werden. 

Die primäre Retraktion beruht auf einer Entzündung oder Fibrose der Retraktoren, was zu einem Elastizitätsverlust führt und die tiefe Position des Unterlids verursacht. Die anteriore Lamelle bleibt intakt, während die posteriore Lamelle ihre Elastizität verliert oder sogar eine Retraktion entwickelt.

Pseudoretraktion des Unterlids durch Exophthalmus 

Wenn der Bulbus nach vorne verlagert ist (Exophthalmus), tendiert der Unterlidrand dazu, auf eine tiefere Position als das Hornhautlimbus abzusinken (Abb. 1,2). Die Pseudoretraktion wird durch zwei Faktoren verursacht: erstens durch den Exophthalmus und zweitens durch die Position des Musculus orbicularis unterhalb des Äquators. 

Die normale Position des Unterlids entspricht einem Kreissegment oberhalb des Augapfels zwischen den beiden Lidwinkeln und dem unteren Hornhautlimbus. Der Exophthalmus verursacht eine Abwärtsabweichung. Die Pseudoretraktion kann sich durch die Wirkung der tieferen Position des Musculus orbicularis verstärken, der sich aufgrund seiner Spannung an eine tiefere Kurve und einen kleineren Radius anpasst.

Abb. 1: Rechts ist der Bulbus nach vorne verlagert und das Unterlid bleibt hinter dem unteren Hornhautlimbus zurück. Dies ist eine Pseudoretraktion, die durch die exophthalmische Lage des Augapfels verursacht wird.

Abb. 2: Pseudoretraktion durch Exophthalmus: Das Unterlid liegt tiefer als der rote Punkt (horizontale Achse des Bulbus). Die Linie zwischen grünem Punkt (Lidwinkel) und gelbem Punkt (Hornhautlimbus) zeigt die Abweichung. Durch die Kraft des Musculus orbicularis wird das Unterlid auf eine kürzere Kreisbahn gezogen.

Abb. 3: Pseudoretraktion des Unterlids durch Exophthalmus.

Abb. 4: Nach Korrektur des Exophthalmus durch orbitale Dekompression (Lipodekompression).

Primäre Unterlidretraktion bei endokriner Orbitopathie
Die primäre Retraktion entsteht durch einen Elastizitätsverlust der Retraktoren aufgrund von Fibrose. In einfachen Fällen kann sie durch eine transkonjunktivale Durchtrennung der Retraktoren und eine laterale Kantoplastik in höherer Position korrigiert werden. In komplizierten Fällen reicht die Durchtrennung nicht aus. Zusätzlich muss ein Gewebe als Spacer interponiert werden, das vom Patienten selbst gewonnen und transplantiert wird.
Abb. 5: Einfache primäre Retraktion bei endokriner Orbitopathie.
Abb. 6: Postoperativ nach transkonjunktivaler Durchtrennung der Retraktoren und lateraler Kantoplastik in höherer Position.
Abb. 7: Komplizierte Retraktion der Unterlider bei endokriner Orbitopathie.
Abb. 8: Postoperativ nach transkonjunktivaler Durchtrennung der Retraktoren und Kantoplastik. Zusätzlich wurde Dermis als Spacer interponiert und vom Patienten selbst transplantiert.
Abb. 9: Transkonjunktivaler Zugang zu den Retraktoren.
Abb. 10: Nach Durchtrennung der Retraktoren wurde Dermis als Spacer implantiert.