Runder lateraler Kanthus

Einleitung 
Der laterale Lidwinkel ist normalerweise spitzer als der mediale Lidwinkel. Wenn sich der laterale Lidwinkel in einen stumpfen Winkel oder sogar in eine runde Form verwandelt, liegt die Ursache meist in einer zentrifugalen Zugwirkung auf das Unter- oder Oberlid. Die Zugwirkung kann durch einen Defekt der vorderen, mittleren oder hinteren Lamelle nach Trauma oder inadäquater Operation entstehen. Der Defekt kann durch eine Kantoplastik und den Ersatz des betroffenen Lamellengewebes korrigiert werden. 

Abstract 
The lateral canthal angle is normally acute. If it suffers a transformation to an obtuse angle, or even a circular form, the cause is often a centrifugal traction on the lower or the upper lid. The traction can arise from defects of the anterior, intermediate or posterior lamella after trauma or inappropriate surgery. The defects can be corrected by cantoplasty and lengthening of the affected lamella. 

Untersuchung des runden lateralen Kanthus 
Ein Hautmangel ist leicht zu erkennen. Wenn die Zugwirkung in der mittleren Lamelle (Orbitalseptum oder orbitopalpebrales Ligament) liegt, ist die Ursache schwieriger zu verifizieren. Ein Defekt der hinteren Lamelle des lateralen Oberlids (Tarsokonjunktiva) kann einen runden lateralen Kanthus verursachen und chronische Symptome durch unvollständigen Lidschluss hervorrufen. 

Chirurgie des runden lateralen Kanthus 
Wenn die Retraktion auf einen Haut- oder Bindehautdefekt zurückzuführen ist, muss Haut- oder Mukosagewebe transplantiert werden. Retraktionen der mittleren Lamelle (Septum und orbitomalarer Bandapparat) werden durch eine Durchtrennung der Fibrose zwischen Tarsus und Orbitakante gelöst. Defekte am Orbitarrand können mit Dermistransplantaten aufgefüllt werden. In allen Fällen ist es notwendig, dies mit einer lateralen Kantoplastik zu kombinieren.

Abb.1: Der laterale Lidwinkel ist normalerweise spitzer als der mediale Lidwinkel.

Abb.2: Zentrifugale Zugwirkung (gelbe Pfeile) am Unter- oder Oberlid verursacht einen runden Kanthus mit stumpfen Winkeln.

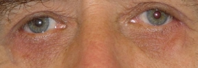
Abb.3: Präoperativ: Patientin nach Blepharoplastik mit überschüssiger Resektion und Zug an der vorderen Lamelle. Laterale Winkel stumpf.

Abb.4: Postoperativ: Nach Lösung der Retraktion aller Lamellen und Anhebung des Unterlids durch ein Midface-Lift wurden die lateralen Winkel wieder spitz.

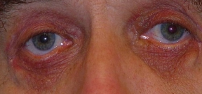
Abb.5: Präoperativ: Runder lateraler Kanthus mit stumpfem Winkel durch Retraktion des Unterlids.

Abb.6: Postoperativ: Spitzwinkel nach Kantoplastik und subziliärem Hauttransplantat.

Abb.7: Präoperativ: Rechter lateraler Kanthus rund nach Komplikation einer Blepharoplastik. Ursache: Retraktion der mittleren Lamelle (Septum und M. orbicularis).

Abb.8: Postoperativ: Das rechte Unterlid wurde nach Lösung des Septums und des orbitomalen Bandes befreit.

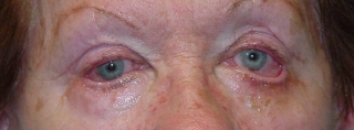
Abb.9: Präoperativ: Runder lateraler Kanthus durch Mangel an hinterer Lamelle des Oberlids (palpebrale Konjunktiva).

Abb.10: Postoperativ: Nach Transplantation von Mundschleimhaut zur teilweisen Ersetzung der Konjunktiva.