Oberlidretraktion bei endokriner Orbitopathie

Die Oberlidretraktion ist das häufigste Symptom bei endokriner Orbitopathie (5.1). Ursache ist ein autoimmuner Entzündungsprozess der Orbita.

Die primäre Retraktion entsteht durch eine Überaktivität des Levator palpebrae oder des Müllerschen Muskels, begünstigt durch Entzündung oder Fibrose. Kortikosteroide können in der aktiven Phase die Entzündungsaktivität reduzieren, verhindern jedoch nicht zuverlässig das Auftreten einer Retraktion und können eine bereits bestehende Fibrose nicht rückgängig machen.

Eine Fibrose des Musculus rectus inferior kann eine sekundäre Retraktion des Oberlids durch einen Kompensationsmechanismus verursachen.

Bei ausgeprägtem Exophthalmus kann eine Pseudoretraktion auftreten, da der nach vorne verlagerte Bulbus das Oberlid in eine höhere Position zwingt.

Die drei Formen der Retraktion erfordern unterschiedliche operative Verfahren:
- Primäre Retraktion: Operation zur Schwächung des Levators oder des Müllerschen Muskels
- Sekundäre Retraktion: Rezession des Musculus rectus inferior
- Pseudoretraktion: Orbitadekompression


Primäre Oberlidretraktion bei endokriner Orbitopathie 

Die primäre Oberlidretraktion beruht auf einer Entzündung oder Fibrose der Retraktoren, was zu einem Elastizitätsverlust führt und eine höhere Position des Oberlids verursacht. Die vordere Lamelle ist intakt, während die hintere Lamelle mit dem Lidheber und dem Müllerschen Muskel einen Elastizitätsverlust oder sogar eine Retraktion zeigt.

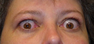
Abb. 1: Ausgeprägte primäre Retraktion beider Oberlider bei mäßigem Exophthalmus.

Abb. 2: Postoperativ nach Schwächung des Lidhebermuskels und des Müllerschen Muskels. Normale Lidposition, aber hoher Lidfurchenstand.

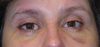
Abb. 3: Mäßige primäre Retraktion des rechten Oberlids

Abb. 4: Postoperativ nach Schwächung des Lidhebermuskels in hoher Höhe nahe des Whitnall-Ligaments. Mit dieser Technik weniger Anhebung der Lidfurche.

Chirurgische Technik bei primärer Oberlidretraktion 

Der Zugang erfolgt transkutan wie bei der Ptosis-Operation. Nach Eröffnung des Orbitaseptums wird der Lidhebermuskel dargestellt. Erfolgt die Durchtrennung in höherer Höhe nahe des Whitnall-Ligaments, genügt ein kurzer Schnitt (Abb. 5). Zur Bestimmung des Inzisionsniveaus kann eine Spatel im oberen Fornix eingeführt werden; geschnitten wird dort, wo die Spatel endet (Abb. 7, 8). Bei ausgeprägter Fibrose muss der Schnitt beidseits erweitert werden, um die seitlichen Fasern zu durchtrennen, die mit dem Tarsus verbunden bleiben (Abb. 6).
Abb. 5: Lange rote Linie zeigt die Durchtrennung der Aponeurose in niedriger Höhe. Wird die Durchtrennung in höherer Höhe nahe des Whitnall-Ligaments durchgeführt, genügt ein kürzerer Schnitt.
Abb. 6: Bei ausgeprägter Fibrose muss der Schnitt hoch beidseits erweitert werden, um die seitlichen Fasern zu durchtrennen, die mit dem Tarsus verbunden sind.
Sekundäre Oberlidretraktion bei endokriner Orbitopathie 

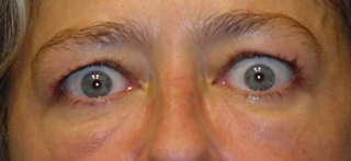
Die sekundäre Oberlidretraktion beruht auf einer Entzündung oder Fibrose des unteren Geradermuskels. Dies führt zu Elastizitätsverlust und Restriktion, sodass die Aufwärts- und Geradeausbewegung des Auges erschwert ist. Als Folge entsteht ein Kompensationsmechanismus mit Hyperaktivität des oberen Geradermuskels zusammen mit dem Lidheber. Das Ergebnis ist eine übermäßige Höhe der Oberlider (Abb. 9). Diagnose: Verschwindet die sekundäre Retraktion, wenn der Patient nach unten schaut (Abb. 10), kann die Diagnose gestellt werden.
Abb. 9: Sekundäre Retraktion durch Fibrose der unteren Geradermuskeln. Kompensation durch Hyperaktivität des oberen Geradermuskels zusammen mit dem Lidheber. Führt zu übermäßiger Höhe der Oberlider.
Abb. 10: Diagnose der sekundären Retraktion: verschwindet, wenn der Patient nach unten blickt.
Pseudoretraktion des Oberlids durch Exophthalmus 

In manchen Fällen kann der Exophthalmus (Proptosis) eine höhere Oberlidposition verursachen, da das Auge nach vorne verlagert ist und das Oberlid zurückbleibt. Dies wird mit Hertel-Messungen evaluiert. Dieses Phänomen wird als Pseudoretraktion definiert.

Ist das Auge nach vorne verlagert (Exophthalmus), steigt der Oberlidrand höher als das Hornhaut-Limbusniveau (Abb. 11, 12). Die Pseudoretraktion wird durch zwei Faktoren verursacht: erstens durch den Exophthalmus, zweitens durch die Position des M. orbicularis entlang des Bulbusäquators.

Die Position des Lidrandes im offenen Zustand ähnelt einer Hyperbel, deren Bogen länger ist als die Lidrandlänge im geschlossenen Zustand. Dadurch trägt die Spannung des M. orbicularis zur Retraktion bei.
Abb. 11: Normalerweise liegt die Achse zwischen den Lidwinkeln (grauer Punkt) vor der horizontalen Achse des Bulbus. Der Oberlidrand verläuft in einer hyperbolischen Kurve, deren Länge größer ist als die Lidrandlänge im geschlossenen Zustand.
Abb. 12: Bei Exophthalmus kann die Achse zwischen den Lidwinkeln (grüner Punkt) hinter der horizontalen Achse des Bulbus liegen. Der Oberlidrand im offenen Zustand hat dieselbe oder sogar kürzere Länge als im geschlossenen Zustand. Der M. orbicularis hat dadurch keine Effektivität mehr beim Schließen und verstärkt die Retraktion.
Abb. 13: Bei Exophthalmus liegt die Achse zwischen den Lidwinkeln (grüner Punkt) sogar hinter der horizontalen Achse des Auges (roter Punkt). Radius und Lidrandlänge im offenen Zustand (blauer Punkt) sind gleich oder kürzer als im geschlossenen Zustand. Der M. orbicularis kann nicht mehr effektiv schließen und verstärkt die Retraktion. Chirurgische Korrektur sollte eine Orbitadekompression beinhalten.