Oberlidchirurgie:Oberflächliche Korrektur der Haut (Dermatochalasis)

Die Haut des Oberlides ist nur 0,2 mm dick und enthält ein Geflecht von elastischen Fasern, die in der Jugend durch ihre Spannkraft eine glatte Lidhaut in allen Blickposition schaffen. Im höheren Alter kommt es zum Zerfall der elastischen Fasern und die Haut wird zunehmend ausgedehnt. Es entsteht allmählich ein Überschuss an Haut, der sogar über die Wimpernreihe nach unten hängen kann und das Gesichtsfeld von oben und zur Seite einengt. Die überschüssige Haut kann auf einfache Weise gekürzt werden. Nach genauer Messung des Überschusses wird ein Hautareal entfernt. Die Schnittstelle wird durch eine Naht verschlossen. Voraussetzung für die einfache Operation ist, dass außer dem Hautüberschusss keine weiteren Probleme, wie z.B. eine Ptosis, Fetthernien oder ein Prolaps der Tränendrüse besteht.

Durch den Hautüberschuss bildet sich eine im Querschnitt N-förmige Hautfalte (rosa Linie), die aus einer Faltung nach hinten und einer Faltung nach vorne besteht. Die Lidfurche (rote Linie) bildet sich bei der Lidöffnung als Winkel in der Muskelschicht.

Oben: Der Hautüberschuss wird mit einer Pinzette abgemessen und markiert. 
Unten: Bei Öffnung des Lides staut sich der Hautüberschuss in der Lidfurche.

Oben: Die Lidfalte darf nur so weit gekürzt werden, dass der Lidschluss ohne Spannung möglich ist.Unten: Ein spannungfreier Lidschluss ist unbedingt anzustreben.

Oben: Nach Resektion der überschüssigen Haut können die Wundränder spannungsfrei vernäht werden.

Unten: Der für den lockeren Lidschluss notwendige Hautüberschuss faltet sich in der Lidfruche nach hinten

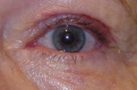
Vor der Operation besteht überschüssige Haut, die seitlich auf den Wimpern aufliegt. Das Gesichtsfeld ist geringfügig eingeengt.
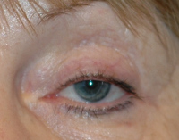
Nach der Operation entsteht eine höhere Lidfalte und eine freie Wimpernreihe.
Erweiterte Oberlidkorrektur bei Lidsenkung (Ptosis) oder Brauensenkung (Brauenptosis)

Siehe auch: Ptosis
Die Korrektur von drei Schichten ( äußere, mittlere und innere) ist notwendig, wenn das gesamte Lid abgesunken ist und die Pupille teilweise oder ganz bedeckt ist. Dies wird auch als Ptosis (Lidsenkung) bezeichnet. Auch eine minimale Ptosis von nur 1mm Senkung wirkt sich deutlich auf das Ergebnis der Oberlidkorrektur aus und sollte unbedingt korrigiert werden. Dabei muss auch die innere Schicht, die aus den Muskeln und Sehnen für die Lidhebung besteht, korrigiert werden.
Ptosis: Die Pupille ist teilweise vom abgesunkenen Oberlid bedeckt. Der Hautüberschuss ist unauffällig, da die Augenbraue unwillkürlich zum Ausgleich nach oben gezogen wird.
Nach Hebung des Lides durch die Korrektur der drei Schichten normalisieren sich die Konturen der Lidkante und der Lidfurche.
Siehe auch: Brauensenkung

Durch die Senkung der Augenbrauen wird die Haut der Oberlider nach unten geschoben, sodass sich der Hautüberschuss stärker auswirkt und das Gesichtsfeld weiter einengt.
Brauenptosis: Es besteht eine Brauensenkung, die den Hautüberschuss betont und zur weiteren Einengung des Gesichtsfeldes beiträgt.
Nach der Hebung der Augenbraue durch Exzision von Haut oberhalb der Braue und der Lidkorrektur wird eine bessere Kontur der Lidfurche und Erweiterung des Gesichtsfeldes erreicht.